Diplomado en Patología Quirúrgica Suprarrenal Y del Retroperitoneo
Diplomado
Online
¡Aprende sin salir de casa!
-
Tipología
Diplomado
-
Metodología
Online
-
Horas lectivas
100h
-
Duración
6 Semanas
-
Inicio
Fechas disponibles
-
Campus online
Sí
-
Clases virtuales
Sí
La Patología Suprarrenal ha sido desde los últimos años un área de interés para la disciplina del especialista en urología, sobre todo desde la aparición de las técnicas endoscópicas. Sus
continuos avances obligan al facultativo a mantenerse actualizado de forma constante. Este programa facilita la puesta al día del profesional en el abordaje Quirúrgico de la Patología Suprarrenal a través de la última tecnología educativa y de forma práctica.
Información importante
Documentos
- 156diplomado-patologia-quirurgica-suprarrenal.pdf
Sedes y fechas disponibles
Ubicación
inicio
inicio
Información relevante sobre el curso
Objetivo general
Actualizar al médico especialista en los procedimientos Quirúrgicos de la Patología Suprarrenal y Retroperitoneo, haciendo un especial hincapié en las técnicas de abordaje endoscópico
Objetivos específicos
Revisar las indicaciones, contraindicaciones de la cirugía suprarrenal
Actualizar los límites quirúrgicos y diferentes vías de acceso al retroperitoneo
Repasar las técnicas de suprarrenalectomía total y parcial en caso de patología benigna
Actualizar los procedimientos quirúrgicos en la patología suprarrenal y retroperitoneal, así como las medidas necesarias para evitar o minimizar complicaciones durante la cirugía o tras ella
El principal objetivo está orientado a permitir la incorporación de los avances que se van produciendo en las técnicas de abordaje de la Patología Suprarrenal, procurando que el especialista pueda actualizar sus conocimientos de un modo práctico, con la última
tecnología educativa y adaptando el proceso educativo a sus necesidades reales.
Este Diplomado en Patología Quirúrgica Suprarrenal y del Retroperitoneo contiene el programa científico más completo y actualizado del mercado.
Tras la superación de la evaluación, el alumno recibirá por correo postal* con acuse de recibo su correspondiente título de Diplomado emitido por TECH Universidad Tecnológica.
El título expedido por TECH Universidad Tecnológica expresará la calificación que haya obtenido en el Diplomado, y reunirá los requisitos comúnmente exigidos por las bolsas de trabajo, oposiciones y comités evaluadores de carreras profesionales.
Título: Diplomado en Patología Quirúrgica Suprarrenal y del Retroperitoneo
N.º Horas Oficiales: 100 h.
Nuestra escuela es la primera en el mundo que combina el estudio de casos clínicos con un sistema de aprendizaje 100% online basado en la reiteración, que combina 8 elementos diferentes que suponen una evolución con respecto al simple estudio y análisis de casos. Esta metodología, a la vanguardia pedagógica mundial, se denomina Relearning.
Nuestra escuela es la primera en habla hispana licenciada para emplear este exitoso método, habiendo conseguido en 2015 mejorar los niveles de satisfacción global (calidad docente, calidad de los materiales, estructura del curso, objetivos…) de los estudiantes que finalizan los cursos con respecto a los indicadores de la mejor universidad online en habla hispana.
Recibida su solicitud, un responsable académico del curso le llamará para explicarle todos los detalles del programa, así como el método de inscripción, facilidades de pago y plazos de matrícula.
En primer lugar, necesitas un ordenador (PC o Macintosh), conexión a internet y una cuenta de correo electrónico. Para poder realizar los cursos integramente ON-LINE dispone de las siguientes opciones: Flash - Instalando Flash Player 10 o posterior (http://www.adobe.com/go/getflash), en alguno de los siguientes navegadores web: - Windows: Internet Explorer 6 y posteriores, Firefox 1.x y posteriores, Google Chrome, Opera 9.5 y posteriores - Mac: Safari 3 y posteriores, Firefox 1.x y posteriores, Google Chrome - Linux: Firefox 1.x y posteriores HTML5 - Instalando alguno de los navegadores web: - Google
Chrome 14 o posterior sobre Windows o Mac - Safari 5.1 o posterior sobre Mac - Mobile Safari sobre Apple iOS 5.0 o posterior en iPad/iPhone Apple iOS - Articulate Mobile Player; Apple iOS 5.0 o posterior en iPad.
Opiniones
Logros de este Centro
Todos los cursos están actualizados
La valoración media es superior a 3,7
Más de 50 opiniones en los últimos 12 meses
Hace 8 años que este centro está en Emagister.
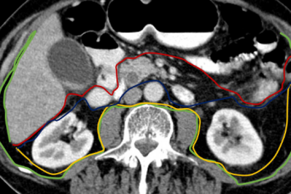
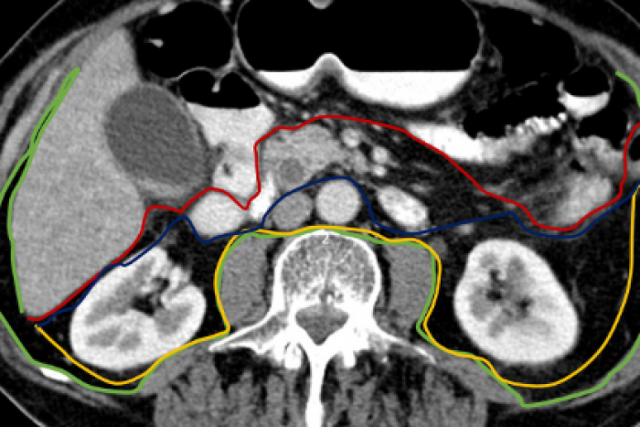
Materias
- Patología
- Peritoneo
- Patología quirúrgica suprarrenal
- Laparoscopia intraperitoneal
- Suprarrenalectomía parcial
- Cirugía del carcinoma suprarrenal
- Tumores retroperitoneales
- Carcinoma Renal
- Retroperitoneoscopia
- Suprarrenalectomía izquierda
- Suprarrenalectomía derecha
- Patología Quirúrgica retroperitoneo
Profesores
Francisco Javier Burgos Revilla
Jefe del Servicio de Urología. Hospital Ramón y Cajal, Madrid
Jefe del Servicio de Urología. Hospital Universitario Ramón y Cajal, Madrid. Vicedecano/a Adjunto/a Hospital Univer. Ramón y Cajal, Fac. Catedrático de Urología de la Universidad de Alcalá. Profesor de la European School of Urology.
Juan Antonio Galán Llopis
Jefe del Servicio de Urología. Hsp. Universitario Vinalopó de Elche
Jefe del Servicio de Urología. Hospital Universitario Vinalopó de Elche, Alicante. Doctor en Medicina y Cirugía por la Universidad de Valencia. Médico Especialista en Urología. Miembro de las Juntas directivas de la Sección de Litiasis de la EAU (EULIS) y de la Sociedad Española de Cirugía Laparoscópica (SECLA). Vocal de la Oficina de Formación Continuada de la AEU.
Plan de estudios
Módulo 1. Últimas tendencias en patología quirúrgica suprarrenal y del retroperitoneo
1.1. Adrenalectomía derecha laparoscópica
1.2. Suprarrenalectomía izquierda laparoscópica
1.3. Adrenalectomía parcial laparoscópica
1.4. Carcinoma suprarrenal (ACC)
1.5. Tumores retroperitoneales
Diplomado en Patología Quirúrgica Suprarrenal Y del Retroperitoneo
